Santé autour des implants dentaires : comprendre, entretenir et préserver vos implants
Les implants dentaires sont aujourd’hui une solution fiable et durable pour remplacer des dents absentes. Mais comme les dents naturelles, ils nécessitent une attention particulière et peuvent eux aussi être touchés par des maladies.
Bien comprendre comment entretenir vos implants est essentiel pour assurer leur longévité et préserver la santé de votre bouche.
Pourquoi surveiller la santé de vos implants dentaires ?
Autour d’un implant, on retrouve une gencive et un tissu osseux, tout comme autour d’une dent naturelle. Ces tissus peuvent être inflammatoires sous l’effet des bactéries présentes dans la bouche.
Les tissus autour de l’implant : gencive et os de soutien
On distingue deux types d’atteintes :
● La mucosite : inflammation superficielle de la gencive autour de l’implant. Elle est réversible si elle est prise à temps.
● La péri-implantite : inflammation plus profonde, touchant l’os de soutien. Sans traitement, elle peut entraîner la perte de l’implant.
Il est important de rappeler que l’implant remplace la dent MAIS ne soigne pas la cause du déchaussement.

Entretenir ses implants dentaires au quotidien
La santé de vos implants dépend avant tout de votre hygiène bucco-dentaire quotidienne.
Chaque jour, des bactéries colonisent la bouche, mais il est tout à fait possible de les contrôler grâce à quelques gestes simples :
● Utiliser une brosse à dents électrique pour un nettoyage efficace.
● Passer des brossettes interdentaires adaptées tous les jours.
● Compléter, si nécessaire, avec un bain de bouche antiseptique recommandé par votre praticien.
Ces gestes simples permettent de garder la gencive saine et d’éviter l’accumulation de plaque autour des implants.
Le suivi au cabinet : un rendez-vous essentiel pour la longévité des implants
Nos conseils en hygiène buccodentaire : plus d’information ici
Le suivi au cabinet : un rendez-vous essentiel pour la longévité des implants
Même avec une hygiène irréprochable, un suivi régulier est essentiel.
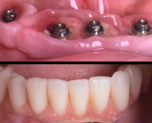
Au cabinet, nous proposons des entretiens professionnels autour des implants, à une fréquence adaptée à chaque patient : selon l’état de santé général, les antécédents et les risques individuels.Lors de ces visites, un nettoyage professionnel est réalisé pour éliminer la plaque et le tartre. Pour les prothèses complètes sur implants, un démontage de la prothèse est nécessaire pour vous aider à nettoyer les zones inaccessibles.

Ce suivi permet également de :
● vérifier la bonne santé des tissus autour des implants ;
● contrôler la stabilité osseuse grâce à des radiographies ;
● s’assurer de la pérennité de la prothèse et des implants dans le temps.
⚠ Les patients ayant souffert de maladie parodontale (déchaussement) doivent être particulièrement vigilants : ils présentent un risque plus élevé de développer une péri-implantite. Cela ne contre-indique pas la pose d’implants, mais nécessite une maintenance parodontale rigoureuse et une hygiène minutieuse.
Prévention et implication du patient : la clé d’implants durables
Un implant est un corps étranger : contrairement à une dent naturelle, il ne possède pas de défense biologique propre. Les infections évoluent donc souvent plus rapidement.
Les implants dentaires offrent une excellente solution pour retrouver le confort et l’esthétique d’un sourire naturel. Mais leur santé dépend de votre implication au quotidien et du travail en équipe avec votre praticien.



