Séances de motivation à l’hygiène bucco-dentaire : un accompagnement personnalisé pour des résultats immédiats
Dans notre approche axée sur la prévention bucco-dentaire, nous proposons des séances de motivation à l’hygiène orale, animées en collaboration avec notre parodontologue, le Dr Terjmann.
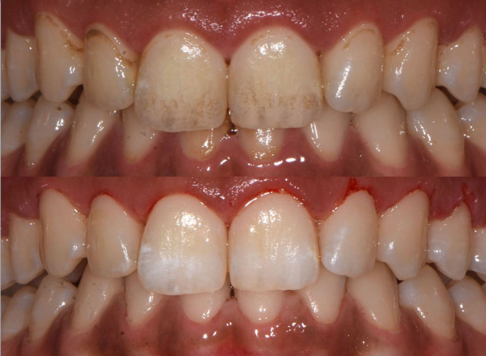
Ces séances vous aident à comprendre, maîtriser et améliorer vos gestes quotidiens afin de préserver vos dents et vos gencives le plus longtemps possible.

–
Apprentissage personnalisé du brossage des dents et de l’hygiène bucco-dentaire
Lors de ces consultations spécifiques, nous abordons :
- Le brossage électrique : démonstration des bons gestes et mise à disposition de matériel à usage unique.
- La révision de la technique de brossage manuel : pour celles et ceux qui préfèrent la brosse manuelle, nous aidons à optimiser vos habitudes existantes.
- L’utilisation des outils d’hygiène adaptés :
– Brosses à dents électriques
– Brossettes interdentaires avec calibrage personnalisé pour choisir la bonne taille

–
Explications sur le brossage des dents et la prévention des maladies gingivales
Nos spécialistes vous expliquent de manière claire et illustrée :
- Pourquoi un brossage deux fois par jour est essentiel pour interrompre le cycle de l’inflammation gingivale.
- Comment une bonne hygiène permet d’éviter caries, tartre, gingivites et maladies parodontales.
- En quoi une hygiène maîtrisée peut éviter des soins lourds et coûteux à long terme.
Exercices pratiques pour améliorer votre technique de brossage
Pendant la séance, vous pourrez :
✅ Tester les bons gestes en conditions réelles
✅ Apprendre à manier correctement les brossettes adaptées à votre dentition
✅ Recevoir des conseils personnalisés et bienveillants
✅ Repartir avec les brossettes utilisées lors de la consultation
Ces séances ont pour objectif de vous rendre autonome dans votre hygiène bucco-dentaire. Grâce à un accompagnement ciblé, vous devenez acteur·rice de votre prévention, avec les bons outils et les bons réflexes.
FAQ – Bien se brosser les dents
1. Quelle est la meilleure technique pour bien se brosser les dents ?
La meilleure technique consiste à brosser les dents deux fois par jour, pendant deux minutes, avec une brosse souple. Les mouvements doivent être doux et circulaires, en allant de la gencive vers la dent, afin d’éliminer efficacement la plaque dentaire sans abîmer l’émail ni irriter les gencives. Le brossage doit couvrir toutes les faces des dents, y compris les zones difficiles d’accès.
2. Vaut-il mieux utiliser une brosse à dents manuelle ou électrique ?
La brosse à dents électrique est souvent plus efficace qu’une brosse manuelle, car ses mouvements rotatifs ou soniques assurent un nettoyage optimal. Elle facilite aussi le respect du temps de brossage recommandé. Toutefois, une brosse manuelle reste une bonne option si la technique est correcte. L’important est d’adopter des gestes adaptés et d’utiliser un dentifrice fluoré pour renforcer l’émail.
3. Pourquoi les brossettes interdentaires sont-elles recommandées ?
Les brossettes interdentaires complètent le brossage classique en nettoyant les espaces situés entre les dents, là où la brosse ne peut pas accéder. Leur utilisation régulière permet de réduire la plaque, de prévenir les caries interdentaires, la formation de tartre et les maladies parodontales. Le calibrage personnalisé est essentiel pour choisir la taille adaptée à chaque espace interdentaire et garantir une efficacité optimale sans risque de blessure.
4. Que se passe-t-il si je ne me brosse pas correctement les dents ?
Un mauvais brossage entraîne l’accumulation de plaque dentaire et de bactéries, responsables de caries, de gingivites et de parodontites. À long terme, cela peut fragiliser les dents et provoquer leur mobilité. De plus, une mauvaise hygiène bucco-dentaire peut avoir un impact sur la santé générale, notamment cardiovasculaire. Bien se brosser les dents, deux fois par jour, est donc essentiel pour préserver votre sourire et éviter des soins coûteux.

